No Dental Insurance? That is no problem, we have an affordable Membership Program that many take advantage of. Go to our Membership program page to learn more or call us.
Before And After
Smile Solutions
Explore Images of Our Comprehensive Dental Services
Welcome to our before-and-after page, where you can explore a wide array of professional services we offer, from cosmetic dentistry to restorative treatments. Each image showcases the exceptional quality and care we provide, highlighting the transformative results our patients experience. We invite you to browse through our before-and-after gallery and see the difference for yourself. Don't hesitate to call us today to schedule an appointment and start your journey toward a healthier, more beautiful smile.
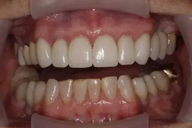
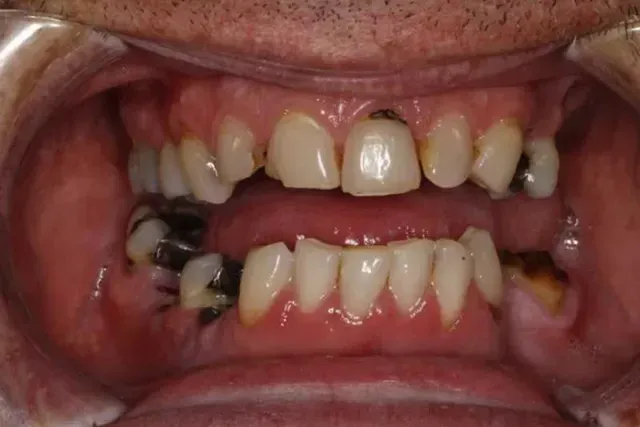
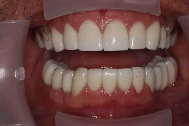
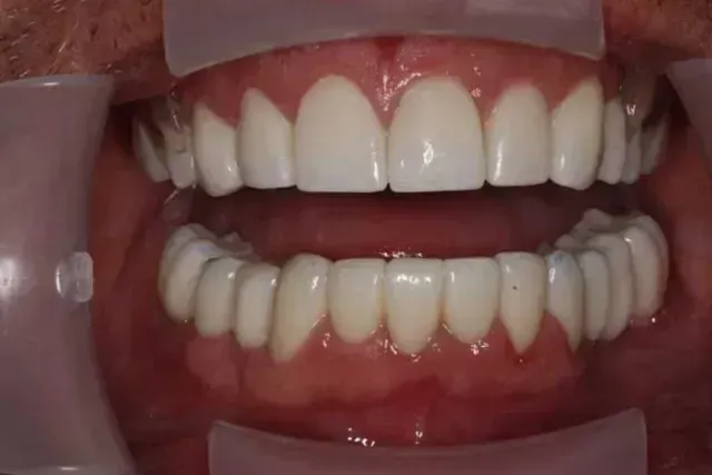
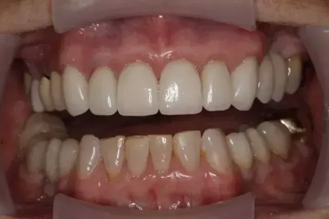
PATIENT A
FEMALE Age 55-60
Treatment Performed: Extractions, Bone Grafts, Dental Implants, Crowns, Whitening
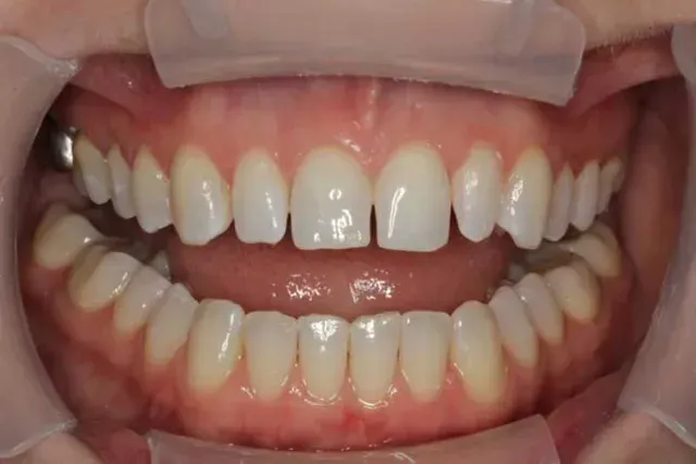
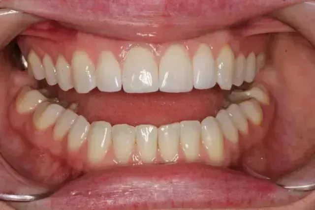
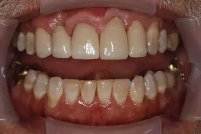
PATIENT B
FEMALE Age 30-35
Treatment Performed: Crowns, Veneers, Whitening, Clear Aligners
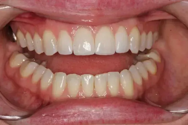
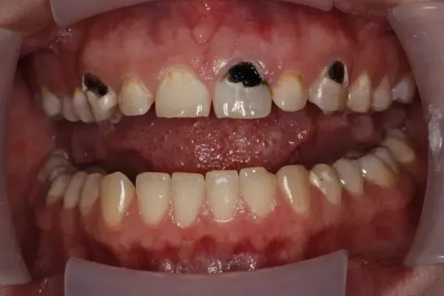
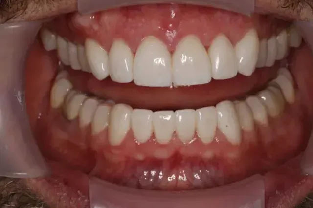
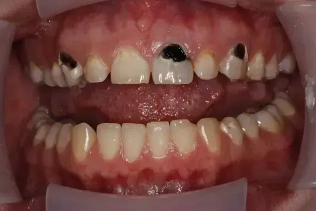
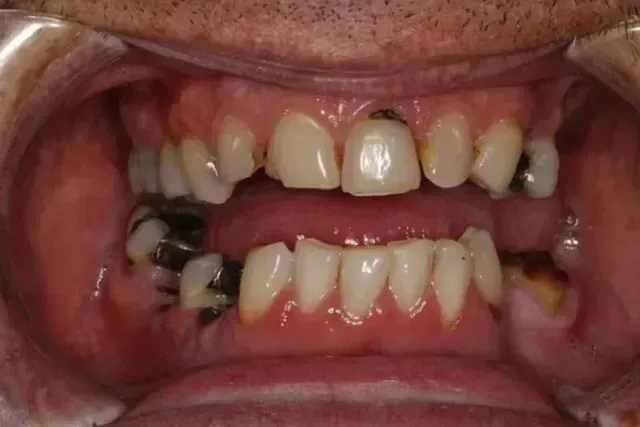
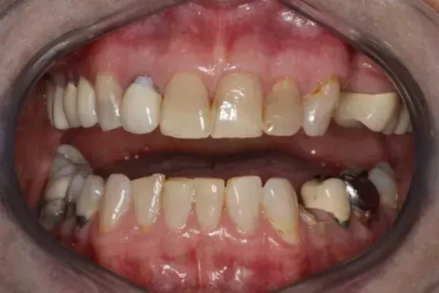
PATIENT C
MALE AGE 55-60
Treatment Performed: SRP, Extractions, Bone Graft, Fillings, Crowns, Dental Implants
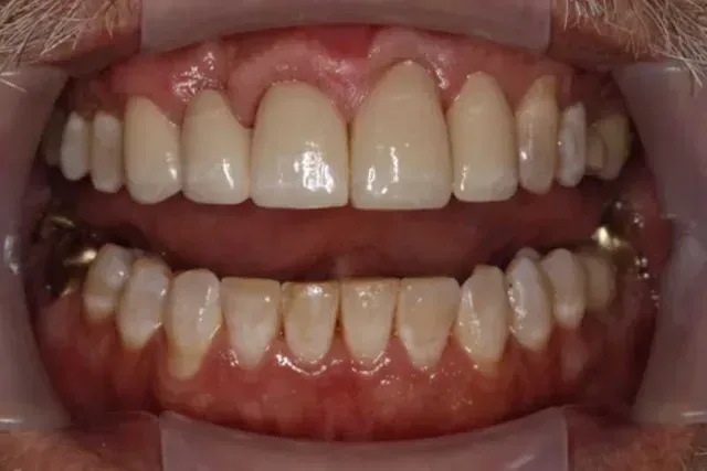
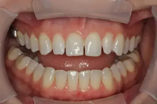
PATIENT D
MALE AGE 50-55
Treatment Performed: Extractions, Dental Implants, Fillings, and Crowns
PATIENT E
FEMALE AGE 20-25
Treatment Performed: Fillings, Crowns, Whitening, Crown Lengthening and Veneers
PATIENT F
MALE AGE 40-45
Treatment Performed: Whitening, Crown Lengthening, Veneers


























Share On: